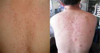
毛囊炎是由金黄色葡萄球菌感染毛囊引起的炎症。本病好发于头部、项部、臀部、肛周及易受摩擦部位。且有复发倾向,常多处发生,性质顽固,迁延难愈。成人多发于多毛部位;小儿则多发于头发部位,愈后可留下小片秃发。
毛囊炎大体可分为两种表现症状——非化脓性毛囊炎和化脓性毛囊炎。


毛囊炎多好发于成人多毛部位,儿童则多发于头发部位。

毛囊炎发展病程分为轻度——中度——重度。

总结:在毛囊炎治疗上,石家庄明德中医院皮肤医院采用“中医草本熏蒸免疫疗法”,是目前治疗毛囊炎的最佳方法,该疗法,根据毛囊炎的临床类型和病变范围,以消炎杀菌干燥为原则,抑杀化脓菌,快速止痒、防感染,专业用于毛囊炎的治疗。可根据患者病程长短、既往治疗情况,选择具体治疗措施。“中医草本熏蒸免疫疗法”对人体神经、体液、内分泌的进行双向调节,达到活化组织细胞,激活酶系统及水分子,修正细胞的新陈代谢等作用,可有效调节机体免疫力恢复,使皮损肌肤迅速恢复弹性和光泽,从根源上避免反复发作。点击咨询专家详细了解该疗法以及治疗毛囊炎所需基本费用,做到放心治疗
下一篇:毛囊炎的典型症状表现有哪些
好技术