当前位置:网站首页 > 毛囊炎 > 毛囊炎症状 > 毛囊炎都有哪些常见的类型?

皮肤病搜索:
咨询专家

毛囊炎都有哪些常见的类型?

来源:石家庄明德中医院


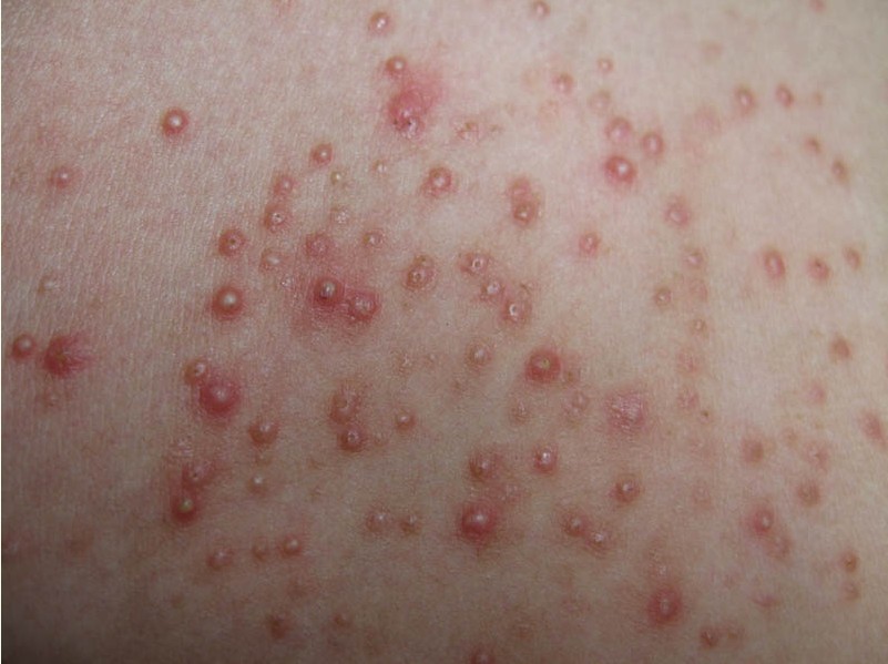
    毛囊炎是因毛囊受损感染金黄色葡萄球菌引起的,人体都有一定的自我抵抗力,如果抵抗力降低,皮肤不洁,受损,搔抓都有可能诱发毛囊炎。因此抵抗力低下,皮肤受损的人容易感染毛囊炎。那么,毛囊炎都有哪些常见的类型呢?


    根据毛囊炎的症状可以将毛囊炎分为以下几种:

    1.羊胡子疮:多发生在颌部,初起时为红色丘疹,然后迅速发展为脓疱,患处中间有毛发贯穿。脓疱破裂后,便会结痂愈合,不会留下疤痕,但可会反复发作。

    2.颈部硬结性毛囊炎:也可称为发际疮,初起时,颈部发际处出现红色丘疹,逐渐发展成疙瘩状硬结,形状不一,病程较长,不易完成治疗。

    3.脓疮性毛囊炎:初起时,毛囊四周的皮肤发红,然后迅速发展为脓疱,中间有毛发贯穿,有轻微疼痛或瘙痒感,多发生在四肢及头皮等处。

    4.单纯性毛囊炎:它属于急性毛囊炎,初起时毛囊口周围有发炎性红晕,然后发展成红色丘疹,经搔抓后可变为脓疱,好发于成年人的头部及腋下。

    5.毛囊周围炎:由毛囊炎发展而成,也就是疖,多发且反复发作称为疖病,伴有淋巴结肿大、全身发热、头痛等症状,可引发败血症,如果患者挤压鼻、唇部位的疖肿,可导致死亡。


石家庄明德中医院是一家在中医事业发展中独树一帜的特色中医院,皮肤科是石家庄中医院的重点建设科室,在皮肤病诊疗上...[详细]

名医推荐

石家庄明德中医院

徐秋峰主任

【医生介绍】 一直致力于肤病治疗科研工作... [详情]

石家庄明德中医院

杨长勇主任

【医生介绍】 从事皮肤病临床工作近三十年,专业中西医... [详情]

石家庄明德中医院

雷克俭主任

【医生介绍】 毕业于北京中医药大学,中华医学会... [详情]