当前位置:网站首页 > 皮炎 > 皮炎案例 > 邢台皮炎患者电话预约治愈病例

皮肤病搜索:
咨询专家

邢台皮炎患者电话预约治愈病例

来源:石家庄明德中医院

    邢台皮炎患者赵某康复病例

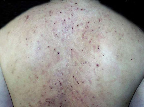
    患者资料:石家庄赵某男42岁

    患者症状:皮损处被覆油腻鳞屑或痂皮,出现渗出、结痂和糜烂并呈湿疹样表现,伴有不同程度的瘙痒。

    咨询治疗经过:患者从病友处了解到河北石家庄明德中医院治疗顽固性皮肤病效果好,在医院官方网站咨询专家后到院治疗。专家经过详细了解患者病史症状,诊断为“脂溢性皮炎”。


   


    专家结合患者的自身条件和药物敏感性。运用“G-B自血回输疗法”治疗,赵某坚持治疗1个月之后,达到临床完成治疗。现在赵某应经停药半年多了,电话随访未见复发现象。

石家庄明德中医院是一家在中医事业发展中独树一帜的特色中医院,皮肤科是石家庄中医院的重点建设科室,在皮肤病诊疗上...[详细]

名医推荐

石家庄明德中医院

徐秋峰主任

【医生介绍】 一直致力于肤病治疗科研工作... [详情]

石家庄明德中医院

杨长勇主任

【医生介绍】 从事皮肤病临床工作近三十年,专业中西医... [详情]

石家庄明德中医院

雷克俭主任

【医生介绍】 毕业于北京中医药大学,中华医学会... [详情]