导读:得了牛皮癣怎么治?
牛皮癣是一种常见的炎症性皮肤病,牛皮癣的治疗有一定的难度,在治疗牛皮癣过程中,患者一定要注意正确合理的治疗牛皮癣,不能病急乱投医,盲目乱治,也不要轻信路边的小广告,以免给自己的病情造成不好的影响。
那么怎样正确治疗牛皮癣呢?
石家庄明德中医院皮肤病专家呼吁:牛皮癣是能够被控制的,治疗牛皮癣,应及时到正规专业医院检查治疗! “中医绿色抗复发五联疗法”是中医药的精华,在治疗牛皮癣疾病的方面实现了因人而异治疗的创新,使“一人一方、一人多方“的治疗变成现实。
【中医绿色抗复发五联疗法牛皮癣康复体系治疗理念】
“中医绿色抗复发五联疗法牛皮癣康复体系”通过现代高科技数字分析技术,精确检测导致每位患者产生牛皮癣的特异性个体因素,从自身免疫、抗毒素、激活活性因子、抗体导向治疗、自身调节、诱导治疗6个方面,同步提升机体免疫,使人体代谢功能恢复常态,消除导致牛皮癣的根本诱因,达到治愈牛皮癣,避免复发的治疗目的。
【治疗牛皮癣五大独特技术突破联合治疗】
1、超导基因免疫技术——消除致病因。该技术就从调节免疫功能的角度出发,利用超导技术将药物有效成份快速进入皮肤表皮的细胞内,抑制消除银屑病产生的病因,阻断银屑病易感基因活化,促进人体蛋白酶分泌量逐步恢复正常,分解患者体内的癣根(有毒蛋白)。
2、UVB紫外光疗——调节血液微循环。UVB紫外线光疗仪采用特定频谱的紫外线光波照射病变皮肤,促进表皮细胞产生免疫调节因子和内分泌,活血化瘀,改善血液微循环。该仪器无需接触身体,具有“无创、无痛、非介入”的特点。
3、独家中药组方——改变机体易感性。中药具有双向调节作用,从差异的靶点、多组分、多途经调节基因,同时转变错误的基因表达和修复DNA毁伤,从根本上改变银屑病的易感性,达到长期临床治愈的目的。
4、药浴熏蒸疗法——促进药物吸收。单一的药物治疗,其疗效毕竟有限,利用我院的尖端设备“可调节式中药熏蒸机”对病变皮肤进行中药熏蒸等物理治疗,不经过胃肠的代谢,避免了药物对胃肠的刺激,药效也更直接。
【六大康复步骤,保障疗效,助益健康】


第一步:全面检测,精准分型:对患者进行准确分型、分期、分类、分性,根据国际尖端设备支持,对患者进行数据分析,全面检测发病成因。
第二步:专家会诊,确定方案:采用皮肤医学界权威专家会诊制度,据四级诊断标准,对患者发病成因进行详尽分析,了解以往病史和治疗用药史,制定最符合患者个体特征的治疗方案。
第三步:源头控制,双向调节:从源头抑制银屑病病理形成机制,促进易感基因进行自体修复,双向调节免疫功能,本源治疗更彻底。
第四步:规范用药,安全可靠:摒弃大量外用药,尤其是激素类等强力药物,减少对患者皮肤刺激;遵守临床用药规则,注重长期效应,避免药物毒副作用。
第五步:多维治疗,立体康复:综合所有康复项目,专业治疗、中西医治疗并重,配合生物反馈疗法和食疗方案,全面关注患者身体状况,保证愈后良好。
第六步:健康追踪,延长效果:银屑病治疗最棘手的是其容易反复的特性,中医抗复发五联疗法”为患者建立康复档案,进行愈后和日常养护追踪,保证治疗效果可以最大化延期。
【康复案例 七年难治顽疾 孟华施技药到病除】


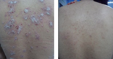
我院治疗赵先生牛皮癣康复对比图
【病情发展】七年前赵先生患上牛皮癣因为年少无知,对牛皮癣的了解不足以为是一般的体癣,错误的用药以至于病情没有得到及时的治疗,导致病情加重,七年来反复的病情将赵先生折腾的疲惫不堪。
【治疗过程】于是急忙到医院检查,他这才知道自己患上了牛皮癣,于是就开始使用各种药物来治疗,可是终究不见好转。最后听一个老客户讲石家庄明德中医院治疗牛皮癣挺不错的,就立马把生意暂停,准备到医院来治疗试试。孟华主任诊断为红皮型牛皮癣,就此尽快为他制定了个人方法,采用“中医绿色抗复发五联疗法”,多管齐下战胜银屑病(牛皮癣)实施了科学的治疗。
【康复治疗】经过2个疗程的治疗,赵先生原有头皮、躯干、四肢、双臀部鳞屑性丘疹、斑块较前进一步变平、消退,颜色减淡,赵先生说7年来从未如此轻松过,为了更加彻底的康复,还是会接受门诊治疗,做好后期的巩固治疗,争取远离病痛,从此不再复发。

好技术