当前位置:网站首页 > 牛皮癣 > 牛皮癣症状 > 牛皮癣的常见症状表现

皮肤病搜索:
咨询专家

牛皮癣的常见症状表现

来源:石家庄明德中医院

  1说起牛皮癣很多人都会说见过或者是听过。那或许是人们只见过它其中的1种症状,可是牛皮癣不仅仅只是1种症状,还有其他的症状,或许是人们不常见的。下面我们就来看看介绍,牛皮癣有哪些症状。

  

牛皮癣常见症状

  我的症状相似怎么办 在线为您解答

  牛皮癣的症状表现有哪些

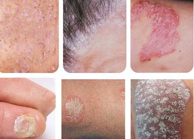
  1·牛皮癣初发时,为针头至扁豆大的炎性扁平丘疹,逐渐增大为钱币、更大淡红色浸润斑,境界清楚,上覆多层银白色鳞屑。

  2·刮除表面鳞屑,则霹出1层淡红色发亮、半透明薄膜,再刮除薄膜,则出现小出血点。

  3·牛皮癣皮损形态,可表现为多种形式。急性期皮损多呈点滴状,鲜红色,瘙痒较着。静止期,皮损常为斑块状或地图状等。消退朔皮损常呈环状、半环状。少数皮疹上的鳞屑较厚,有时堆积如壳蛎状。

  4·牛皮癣皮损,可在身体任何部位对称性发生,好发于肘、膝关节伸侧和头部,少数病人指(趾)甲、黏膜亦可被侵。

  5·起为小脓疱,伴有发热等症状者,称为脓疱型银屑病;合并关节病变者,称为关节型银屑病。

  6·牛皮癣容易急性发作,慢性经过,倾向复发。

  7·牛皮癣发病常与季节有关,有夏季增剧,秋冬自愈者;也有冬春复发,入夏减轻者。

  提醒:牛皮癣治疗需重视

  上述的这些症状,希望大家可以重视起来,我们应该注意1些发病特征,疾病刚出现时,病症不明显,但是随着年龄的增加,患者会出现皮损,而且病情不断恶化,影响到身体健康。因此,患者要注意合理的进行治疗,以免病情加重,导致严重的并发症。

石家庄明德中医院是一家在中医事业发展中独树一帜的特色中医院,皮肤科是石家庄中医院的重点建设科室,在皮肤病诊疗上...[详细]

名医推荐

石家庄明德中医院

徐秋峰主任

【医生介绍】 一直致力于肤病治疗科研工作... [详情]

石家庄明德中医院

杨长勇主任

【医生介绍】 从事皮肤病临床工作近三十年,专业中西医... [详情]

石家庄明德中医院

雷克俭主任

【医生介绍】 毕业于北京中医药大学,中华医学会... [详情]