石家庄明德中医院皮肤医院专家介绍:毛囊炎是由金黄色葡萄球菌侵入毛囊所致的,分为亚急性或慢与化脓性的毛囊和毛囊周围炎症。一般皮肤不清洁、搔抓或肌体抵抗力降低时均可诱发。“那么,毛囊炎常见的诱发因素有哪些?针对不同原因引起的毛囊炎又该如何治疗呢?下面我们就来详细了解。
引起毛囊炎的常见原因有哪些?主要有以下几点:

毛囊炎症状图
1、毛发的牵拉、摩擦、搔抓引起的损伤。
2、某些原发病,如:激素性皮炎、脂溢性皮炎、湿疹、痤疮、瘙痒性皮肤病、糖尿病、慢性病灶等也往往都伴有不同程度的毛囊炎。
3、皮质激素破坏皮肤生态环境。皮下有激素残留和停用激素后的“撤药性反跳”的典型症状之一就是:细菌、真菌感染。
4、皮肤的浸渍(如总出汗、总受各种液体的刺激、没及时清洁阻塞毛孔发炎)
5、其他原因导致的皮脂分泌、毛囊角化不良、细菌感染,睡眠、饮食、环境、胃肠功能、汗腺分泌、体质、维生素缺乏等因素都会影响。
专家提醒大家:不论您是属于何种原因引起的毛囊炎及时治疗是关键。毛囊炎向深部发展,可引起毛囊周围炎,称为疖,多发且反复发作的疖称为疖病,严重者可有淋巴结肿大、发热、头痛,甚至引起脓毒血症或败血症;如果挤压位于鼻、口唇部位的疖肿,可使病菌经血行进入颅内,引起化脓性血栓性静脉炎或脑脓肿,可导致死亡。那么,在深圳治疗毛囊炎应该采取怎样的治疗方法呢?效果如何?
【治疗毛囊炎】石家庄明德中医院皮肤医院,中医草本熏蒸免疫疗法治疗各种毛囊炎
“中医草本熏蒸免疫疗法”是根据毛囊炎的临床类型和病变范围,由石家庄明德中医院皮肤医院多位皮肤病专家共同创立的独特理疗法,它以消炎杀菌干燥为原则,抑杀化脓菌,快速止痒、防感染,专业用于毛囊炎的治疗,具有促进新陈代谢和细胞正常的自我修复能力,使皮损肌肤迅速恢复弹性和光泽,效果显著。可根据患者病程长短、既往治疗情况,选择具体治疗措施。它的独特之处已被毛囊炎患者广泛接受,实实在在的从根本上解决了许多毛囊炎患者的痛苦,该疗法更是获得了全国皮肤病研究治疗技术最新突破奖。
“中医草本熏蒸免疫疗法”治疗毛囊炎效果显著看的见!

毛囊炎治疗效果图
毛囊炎治疗一个疗程后:症状部位瘙痒明显减轻,皮肤炎症明显减轻。
毛囊炎治疗两个疗程后:皮肤丘疹、脓包逐渐萎缩消失,破损的疹包开始愈合。
毛囊炎治疗三个疗程后:皮损部位转变为正常皮肤,临床症状消失,皮肤看上去光泽、有弹性。
在疾病的治疗上传统的治疗习惯让人们对药物有了很大的依赖性,可是一般的治疗毛囊炎的外用药物很难渗透到皮下彻底杀灭金黄色葡萄球菌,细菌的杀灭不干净,造成了毛囊炎的治疗不彻底。因此,患病后及时到正规的医院在专业医师的指导下接受规范化的治疗才是明智之举。
【案例分析】粗心大意导致毛囊炎肆意发展痛苦多
小赵,28岁。没想到小小的毛囊炎也能折磨得他痛苦不堪。由于皮肤很干燥,平常洗澡有搓澡的习惯,造成角质脆弱,又搓的太频繁,引起皮肤不适,刺激敏感,激发了前胸长了毛囊炎。

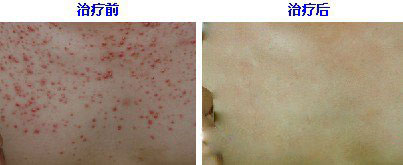
毛囊炎治疗前后对比图
因为工作忙的原因刚开始都没太在意,后来越长越多,甚至有点恐怖。连穿衣服都疼得不得了,根本没办法工作。用了些消炎的药和润肤霜使用,完全不顶事。在朋友介绍下去了石家庄明德中医院皮肤医院治疗,医生采用了特色疗法——中医草本熏蒸免疫疗法进行治疗。通过一段时间治疗,很快皮肤恢复了正常,生活、工作都开始步入正轨。
毛囊炎不治可以自愈吗?毛囊炎是我们生活中比较常见的皮肤病,患有毛囊炎要及时诊断治疗,而且也要在生活中做好护理。毛囊炎比较容易反复发作,并且本病的病程比较缓慢,有些人认为毛囊炎不是很严重,因此不需要治疗,是这样吗?毛囊炎不治可以自愈吗?下面我们就来介绍一下这方面的知识。
毛囊炎一般大多会有复发倾向,并且经常会多处发生,而且性质顽固,往往会迁延难愈。毛囊炎虽然不是特别严重的皮肤病,不过本病不治是不会自愈的。毛囊炎如果不及时治疗或是处理不当的话,那么不仅不会自愈,而且还可导致一些严重的并发症。
如果是出现在头皮的毛囊炎,而没有得到正确的处理的话,那么还可在治愈之后留下疤痕,而且还可导致永久性的脱发,从而可给患者的外貌带来很大的影响。如果是出现在颈部的毛囊炎的话,那么还可形成乳头状增生或者是瘢痕硬节。而且毛囊炎的病情严重的话还可伴发淋巴结肿大、发热以及头痛等全身症状,甚至还可导致脓毒血症或是败血症等严重的疾病,因此患有毛囊炎之后要及时诊断治疗。
石家庄明德中医院皮肤医院——治疗皮肤病的首选医院
石家庄明德中医院皮肤医院自创办以来,多次被评为全国医院建设先进单位 、全国百姓放心医院示范单位、消费者信得过单位。不过,石家庄明德中医院皮肤医院并不满足,为了提高皮肤科诊疗水平,医院斥巨资引进国内外高新设备仪器百余台,同时集聚了一批医术精湛,经验丰富,业内权威的皮肤病专家,在中西医结合治疗白癜风、牛皮癣、鱼鳞病、皮炎湿疹、痤疮、毛囊炎、斑秃、脱发、皮肤瘙痒、荨麻疹等皮肤病领域独具特色。如今,凭借着明显的诊疗优势,已经为数万皮肤病患者解除了疾患,成为皮肤疾病诊疗专业典范医院!也是百姓心中最值得信赖的医院!
上一篇:引发毛囊炎的原因是什么?
下一篇:毛囊炎可以并发哪些疾病
好技术