当前位置:网站首页 > 股癣 > 股癣症状 > 股癣(综述)

皮肤病搜索:
咨询专家

股癣(综述)

来源:石家庄明德中医院

  【摘要】股癣是一种皮肤病,它是指人体股内侧、会阴、臀部感染真菌后引起的皮肤病 。股癣的真菌可以通过内衣、浴巾等间接传染,也可通过性生活等方式直接传播。所以股癣也被列入性传播性疾病之中本病在温热潮湿的季节容易发生,男性多汗者尤易发病。特殊工种如汽车司机、长期坐位者也易发病。

  什么是股癣

u=1651462442,691006463&fm=23&gp=0.jpg


  股癣是指发于人体股内侧、腹沟部、会阴、臀部感染真菌后引起的皮肤病,多由于人体免疫力低下造成。股癣的真菌可以通过内衣、浴巾等传播,也可通过性生活传播,故股癣也被列入性传播性疾病之中。但我们千万不要以为股癣就一定是通过性接触传染的,但临床上80%以上的股癣是通过非性交传播的。

  股癣的病因:

  (一)发病原因

  股癣的主要病原菌为红色毛癣菌和须癣毛癣菌。絮状表皮癣菌以往也是股癣的常见病原菌,但近年来已较少。其他一些可以引起体癣的病原菌也可以成为股癣的病原,但所占比例不大。中医认为汗溻日久,外感风邪所致。

  (二)发病机制

  由于股部比较适合真菌生长,股癣的发病率相对较高,此外,该部位皮肤薄嫩,红色毛癣菌和须癣毛癣菌适于股部生长。不透气的衣物可增加皮肤局部的温度和湿度,干扰角质层的屏障功能。

  股癣的症状表现:

  1.股癣刚开始时,为边缘清晰、稍微隆起的红斑,渐渐扩大,上面有落屑,渐渐由红色转为褐色或肤色。

  2.病损的中心渐渐自动愈合,向周围发展,红斑的边缘炎症比较明显,上面可有皮疹、水疱、痂皮,甚至糜烂,形成凸边环形。

  3.愈后留下暂时性色素沉着,瘙痒症状严重,瘙痒带有鳞屑掉落。

  股癣易与哪些疾病相混淆:

  1.脂溢性皮炎:有时也可侵犯阴股部,皮疹为淡红 色斑 ,有脱屑,有的呈环状,边界清楚,但直接镜检真菌为阴性。

  2.红癣:由一种棒状杆菌引起的皮肤病,常见于腋下、股部等处,病变部位皮肤为砖红色,边缘没有炎性环,不痒,直接镜检真菌为阴性。

  3.银屑病:俗称 牛皮癣 ,可侵犯股部,表现为环状或斑块状红斑,一般表面有较厚的鳞屑,全身其他部位也可有同样的皮疹。

  传统治疗股癣的方法:

  中医治疗

  中医认为,风邪、湿邪、热邪、血虚、虫淫等为致病的主要原因,保肤霜治疗以疏风祛湿、清热解毒、养血润燥、活血化瘀为原则,以达到驱邪扶正止痒治愈之功效。但中医治疗往往需要坚持长时间的服用,很多患者很难坚持。

  一般治疗

  股癣是较顽固的疾病,极容易复发,对很多药都敏感,但治疗结束后一定时间内仍可以复发。

  股癣的治疗

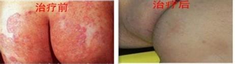
  石家庄明德中医院在治疗体癣病的过程采用“中西渗透灭菌疗法”,专门针对体股癣以及其它不同类型的皮肤癣病,通过现代科技和传统中医相结合,采用全舱式中药熏蒸床进行内部调理和外部诊疗,逐步缓解皮肤癣病症状。消除体股癣病源,逐步达到由内而外, 缓步推进,最终达到治疗体股癣的目的。

  优势:尖端设备、精确治疗从而可以保证让患者诊断检查更准,多效并举、标本兼治治疗体股癣。

225a4d812d421fb0bab9aae65f1028af.jpg


  温馨提示:由于门诊患者较多,为保证医院专家号诊疗质量,应上级领导部门要求,石家庄明德中医院开通网上预约挂号,就诊患者请提前网上预约挂号,节约门诊挂号时间。

  股癣的预防

  1、洁身自好,不与他人发生不正当性关系。不使用他人内衣、内裤及洗浴用品。

  2、经常换洗内裤,并保持外阴部清洁,经常洗晒衣被。

  3、减少出汗,促进股根部蒸发作用。尽量保持干燥,穿宽松合贴身内裤。

  4、如患有灰指甲、鹅掌风、圆癣,应积极治疗,以防经手传染于阴股部。

  5、夫妻间若有一方感染,在未治愈之前,应暂时停止性生活,以免传染给另一方。

  6、坐式马桶是传播股癣的途径之一,使用坐式公厕时,应特别小心防范。

  7、饮食上多食新鲜的蔬菜和水果,饮食方面尽量保持清淡、不吃或少吃海鲜及辛辣的食物,不喝酒,喝酒容易刺激皮肤照成瘙痒加剧。

上一篇:没有了

下一篇:没有了

石家庄明德中医院是一家在中医事业发展中独树一帜的特色中医院,皮肤科是石家庄中医院的重点建设科室,在皮肤病诊疗上...[详细]

名医推荐

石家庄明德中医院

徐秋峰主任

【医生介绍】 一直致力于肤病治疗科研工作... [详情]

石家庄明德中医院

杨长勇主任

【医生介绍】 从事皮肤病临床工作近三十年,专业中西医... [详情]

石家庄明德中医院

雷克俭主任

【医生介绍】 毕业于北京中医药大学,中华医学会... [详情]