当前位置:网站首页 > 荨麻疹 > 荨麻疹是否传染?

皮肤病搜索:
咨询专家

荨麻疹是否传染?

来源:石家庄明德中医院

    荨麻疹是否传染?荨麻疹是一种大家比较常见的疾病,相信大家已经很了解这种疾病。疾病的反复出现给很多患者带来一定的影响。有很多患者在患上疾病之后,担心疾病会发生传染,因此疏远了很多朋友,给自己造成一定的伤害。为了帮助患者更好的治疗疾病,不妨现在就来咨询一下石家庄明德中医院的相关专家吧。
 
    荨麻疹是否传染
 
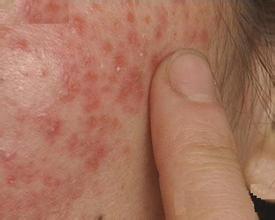
    小林,是位工程师,平时的工作比较忙,经常会有加班的现象。这段时间,因为一家房地产商要开发楼盘,聘请了小林做设计师。因为时间比较紧迫,小林经常会有加班的现象。可能是体力不支的原因,小林的背上出现了一些明显的瘙痒、丘疹、风团现象,小林发现自己的症状之后,及时来到了石家庄明德中医院。
 
    石家庄明德中医院的专家看了小林的症状,经过医生的详细诊断,告诉患者此疾病是荨麻疹。专家说荨麻疹是一种比较常见的疾病,但是疾病是不会传染的,这点患者可以放心。建议患者到正规的皮肤病医院检查治疗。
 
    荨麻疹的预防:
 
    1、首先大家应该明白荨麻疹是不会传染。有很多患者在患上疾病之后,不太清楚疾病的相关知识,总是会盲目的治疗疾病,不但给患者带来严重的经济损失,还给患者的健康造成严重的影响。所以患者一定要及时治疗疾病。
 
    2、患者要避免接触过敏原。有很多患者在患上疾病之后,不太重视疾病的治疗,总是会接触到一些刺激性强东西,时常接触接触就会引起疾病的反复发生。为了避免疾病的反复发生,患者一定要避免接触过敏原。
 
    石家庄明德中医院的专家说荨麻疹并不是一种难治的疾病,只要做到早发现、早治疗、早预防就可以避免疾病的反复发生。在治疗的过程中千万不能盲目的相信偏方,因为偏方治疗疾病是不安全的。建议患者尽早到正规的皮肤病医院检查治疗。
 
    石家庄明德中医院根据患者不同层次的需求,开通了全国首家特需专家远程诊断窗口,只要点击咨询就可以实现患者与专家即时面对面交流,解决了异地患者找知名专家看病难的问题。温馨提示:详情请在线咨询石家庄明德中医院的相关专家,或拨打24小时咨询热线:0311-66179120
在线咨询:http://www.mdpfk.com(石家庄荨麻疹治疗中心)
地址:红旗大街241号(槐安路与红旗大街交叉口往南走400米,路东)
市内乘坐107路,14路,15路,311路,48路,78路,93路,夜观光2路到 风机厂(明德中医院) 下车即到

石家庄明德中医院是一家在中医事业发展中独树一帜的特色中医院,皮肤科是石家庄中医院的重点建设科室,在皮肤病诊疗上...[详细]

名医推荐

石家庄明德中医院

徐秋峰主任

【医生介绍】 一直致力于肤病治疗科研工作... [详情]

石家庄明德中医院

杨长勇主任

【医生介绍】 从事皮肤病临床工作近三十年,专业中西医... [详情]

石家庄明德中医院

雷克俭主任

【医生介绍】 毕业于北京中医药大学,中华医学会... [详情]